NKX2.2 Antibody (DA235)
NKX2.2 Antibody (DA235)
Recombinant monoclonal rabbit antibody
Description
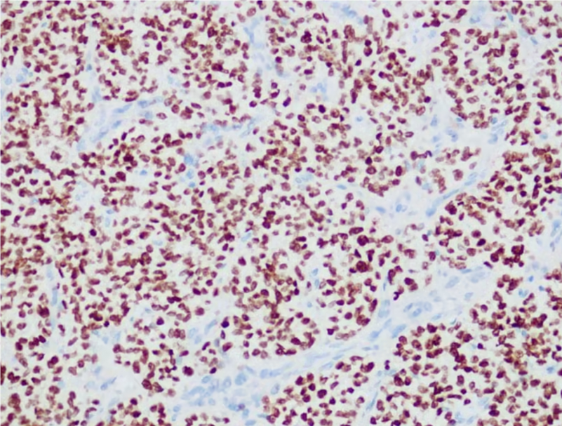
NKX2.2 is a homeodomain transcription factor that plays a role in neuroendocrine and glial differentiation.1 NKX2.2 is upregulated in Ewing’s sarcoma as a result of the oncogenic EWS-FLI1 fusion protein.2,3 As one of many small round blue cell tumors, Ewing’s sarcoma can be difficult to diagnose due to the characteristic undifferentiated morphology.4 NKX2.2 has proven its utility as a sensitive maker for distinguishing Ewing’s sarcoma from other round blue cell tumors when used in a panel.1,5
References
1. Yoshida A, et al. Am J Surg Pathol. 2012; 36:993-9.
2. Yamamoto Y, et al. J Cytol. 2015; 32:30-32.
3. Smith R, et al. Cancer Cell. 2006; 9:405-16.
4. Rajwanshi A, et al. J Cytol. 2009; 26:1-10.
5. Hung Y, et al. Mod Pathol. 2016; 29:370-80.
2. Yamamoto Y, et al. J Cytol. 2015; 32:30-32.
3. Smith R, et al. Cancer Cell. 2006; 9:405-16.
4. Rajwanshi A, et al. J Cytol. 2009; 26:1-10.
5. Hung Y, et al. Mod Pathol. 2016; 29:370-80.
Specifications
Application:
IHC (FFPE)
Host:
Rabbit
Dilution range:
Immunogen:
Synthetic peptide of human NKX2.2
Cellular location:
Nucleus
Control:
Ewing’s Sarcoma
Order information
| DMRD0235 | 3ml, 6ml, 10ml | Ready to use |
