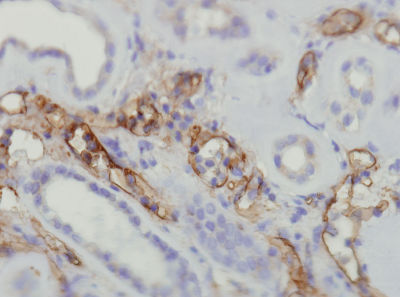
C4D Antibody (DA275)
C4D Antibody (DA275)
Recombinant monoclonal rabbit antibody
Description
Acute humoral rejection is mediated by antibodies to the donor endothelium that activate the classical complement pathway.1-3 This leads to a number of split products of complement proteins. C4d is a fragment of C 4 complement released during activation of the classic complement pathway by the antigen antibody complex.3 C4d deposits in peritubular capillaries and is regarded as an indirect sign of an antibody response.3,6 C4d can be a useful tool for indicating acute renal allograft rejection.1-6
References
1. Jianghua C, et al. C4d as a significant predictor for humoral rejection in renal allografts. Clin Transplant. 2005; 19:785-91.
2. Kayler LK, et al. Acute renal allograft rejection: diagnostic significance of focal peritubular capillary C4d. Transplantation. 2008; 85:813-20.
3. Ranjan P, et al. The role of C4d immunostaining in the evaluation of the causes of renal allograft dysfunction. Nephrol Dial Transplant .2008; 23:1735-41.
4. Nadasdy GM, et al. Comparative study for the detection of peritubular capillary C4d deposition in human renal allografts using different methodologies. Hum Pathol. 2005; 36:1178-85.
5. Seemayer CA, et al. C4d staining of renal allograft biopsies: a comparative analysis of different staining techniques. Nephrol Dial Transplant. 2007; 22:568-76.
6. Bouron-Dal Soglio D, et al. An immunohistochemical evaluation of C4d deposition in pediatric inflammatory liver diseases. Hum Pathol. 2008; 39:1103-10.
2. Kayler LK, et al. Acute renal allograft rejection: diagnostic significance of focal peritubular capillary C4d. Transplantation. 2008; 85:813-20.
3. Ranjan P, et al. The role of C4d immunostaining in the evaluation of the causes of renal allograft dysfunction. Nephrol Dial Transplant .2008; 23:1735-41.
4. Nadasdy GM, et al. Comparative study for the detection of peritubular capillary C4d deposition in human renal allografts using different methodologies. Hum Pathol. 2005; 36:1178-85.
5. Seemayer CA, et al. C4d staining of renal allograft biopsies: a comparative analysis of different staining techniques. Nephrol Dial Transplant. 2007; 22:568-76.
6. Bouron-Dal Soglio D, et al. An immunohistochemical evaluation of C4d deposition in pediatric inflammatory liver diseases. Hum Pathol. 2008; 39:1103-10.
Specifications
Application:
IHC (FFPE)
Host:
Rabbit
Dilution range:
Immunogen:
Synthetic peptide of human C4D
Cellular location:
Cytoplasm/Cell membrane
Control:
Tonsil
Order information
| DMRD0342 | 3ml, 6ml, 10ml | Ready to use |
