ATRX Antibody (DA273)
ATRX Antibody (DA273)
Recombinant monoclonal rabbit antibody
Description
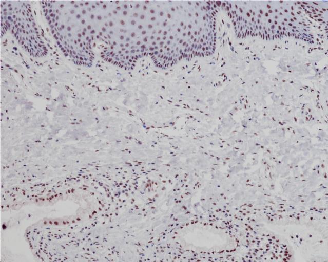
Diffuse gliomas are classified based on histological and molecular features to achieve an integrated diagnosis. Molecular diagnostic markers include IDH mutation, 1p/19q co-deletion, and TP53 mutation. ATRX is a chromatin remodeling protein and its mutation status may be used as a molecular diagnostic marker within the diffuse glioma classification algorithm. Anti-ATRX is used to identify mutant ATRX by a loss of ATRX expression in neoplastic cells when compared with internal positive controls (endothelial cells, glia, and neurons). Grade II/III astrocytoma classification includes IDH mutant, ATRX mutant, and 1p/19q retention, while grade II/III oligodendroglioma includes IDH mutant, ATRX wildtype, and 1p/19q co-deletion; p53 expression may also serve as an aid in diagnosis. ATRX mutation is frequently, but not always, mutually exclusive with 1p/19q co-deletion.1-6
References
2. Reuss, David E et al. "ATRX and IDH1-R132H immunohistochemistry with subsequent copy number analysis and IDH sequencing as a basis for an "integrated" diagnostic approach for adult astrocytoma, oligodendroglioma and glioblastoma." Acta neuropathologica vol. 129,1 (2015): 133-46.
3. Louis DN, et al. The 2016 World Health Organization Classification of Tumors of the Central Nervous System: a summary. Acta Neuropathol. 2016 Jun;131(6):803-20.
4. Ikemura, Masako et al. "Utility of ATRX immunohistochemistry in diagnosis of adult diffuse gliomas." Histopathology vol. 69,2 (2016): 260-7.
5. Yamamichi, Akane et al. "Immunohistochemical ATRX expression is not a surrogate for 1p19q codeletion." Brain tumor pathology vol. 35,2 (2018): 106-113.
6. Wood MD, et al. Applications of molecular neuro-oncology - a review of diffuse glioma integrated diagnosis and emerging molecular entities. Diagn Pathol. 2019 Apr 9;14(1):29.
Specifications
Order information
| DMRD0341 | 3ml, 6ml, 10ml | Ready to use |
