ERCC1抗体试剂
ERCC1抗体试剂
DNA切除修复蛋白
产品描述
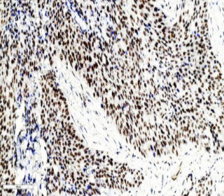
DNA切除修复蛋白ERCC1由19号染色体上的ERCC1基因编码。作为哺乳动物核苷酸切除修复(NER)系统的关键酶,ERCC1参与损伤DNA的修复过程。该蛋白与酿酒酵母中的RAD10具有同源性,在有丝分裂期间的染色体内重组和修复过程中发挥重要作用。ERCC1修复诱导的DNA加合物和紫外线(UV)引发的DNA损伤中不可或缺。研究发现,ERCC1抗体的高表达与多种肿瘤进展相关,包括非小细胞肺癌(NSCLC)、头颈部鳞状细胞癌、卵巢癌及食管癌。ERCC1表达水平升高可能预示患者对铂类化疗药物的敏感性降低。但值得注意的是,在非小细胞肺癌中,未接受术后辅助治疗的手术切除标本若呈ERCC1阳性,其患者生存期反而优于ERCC1阴性者。
参考文献
产品信息
备案名称:
ERCC1抗体试剂
备案证号:
粤深械备 20221680
产品型号:
DMRD0192
适用:
阳性部位:
细胞核
预 处 理:
产品规格
| 类型 | 即用型 | 浓缩型 | ||||
| 规格 | 1ml | 3ml | 6ml | 10ml | 0.1ml | 0.2ml |
