ESA抗体试剂
ESA抗体试剂
上皮特异性抗原
产品描述
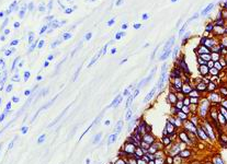
ESA抗体试剂是一种用于免疫组织化学检测的单克隆抗体试剂,主要用于识别上皮特异性抗原(Epithelial Specific Antigen, ESA/EpCAM)。该试剂通过特异性结合ESA抗原(一种40kD的跨膜糖蛋白),可有效标记正常上皮细胞和上皮源性肿瘤细胞(如腺癌、鳞癌等),在病理诊断中常用于鉴别上皮源性肿瘤与其他组织类型肿瘤。ESA抗体在乳腺癌、肺癌、结直肠癌等上皮源性肿瘤中呈阳性表达,而在肝细胞癌、肾上腺皮质癌等特定肿瘤中呈阴性,这一特性使其成为肿瘤鉴别诊断的重要工具。试剂通常采用鼠抗人单克隆抗体,需2-8℃保存,适用于多种免疫组化检测方法。
参考文献
产品信息
备案名称:
ESA抗体试剂
备案证号:
粤深械备 20221681
产品型号:
DMRD0194
适用:
阳性部位:
细胞膜
预 处 理:
产品规格
| 类型 | 即用型 | 浓缩型 | ||||
| 规格 | 1ml | 3ml | 6ml | 10ml | 0.1ml | 0.2ml |
