Gastrin抗体试剂
Gastrin抗体试剂
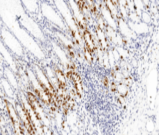
胃泌素
产品描述
胃泌素(Gastrin)是由胃窦/幽门部G细胞和十二指肠G细胞分泌的线性肽类激素,分泌后直接进入血液循环。Gastrin抗体能特异性识别胃窦/幽门黏膜中的G细胞,以及胃部产生胃泌素或其结构类似物的细胞,对其他细胞或组织类型无交叉反应。该抗体可同时检测硫酸化和非硫酸化形式的胃泌素,并与50%以上的胆囊收缩素八肽(CCK-8)存在交叉反应,为胃肠道内分泌细胞研究和胃泌素相关疾病诊断提供了重要工具。
参考文献
产品信息
备案名称:
胃泌素(Gastrin)抗体试剂
备案证号:
粤深械备 20221666
产品型号:
DMRD0199
适用:
阳性部位:
细胞质
预 处 理:
产品规格
| 类型 | 即用型 | 浓缩型 | ||||
| 规格 | 1ml | 3ml | 6ml | 10ml | 0.1ml | 0.2ml |
