LMO2抗体试剂
LMO2抗体试剂
靶向造血发育关键蛋白
产品描述
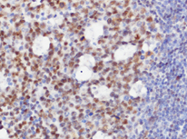
LMO2抗体 是一种靶向造血发育关键蛋白(由LMO2基因编码的含两个LIM结构域的半胱氨酸富集蛋白)的免疫检测工具。该抗体在淋巴瘤诊断中具有重要价值:①作为生发中心相关标志物,与HGAL抗体联合应用可辅助鉴定滤泡性淋巴瘤(FL),尤其对非胃肠道FL的鉴别诊断具有特殊价值;②作为生发中心型弥漫大B细胞淋巴瘤(GC-DLBCL)的特征性标志物;③在结节性边缘区淋巴瘤(NMZL)诊断中,联合CD43、CD23、CD21、BCL6和HGAL等抗体组成的免疫组化组合,可有效区分弥漫性滤泡中心淋巴瘤。LMO2在造血发育中的高度保守性及其在特定淋巴瘤亚型中的特异性表达模式,使其成为血液病理诊断中不可或缺的分子标记。
参考文献
产品信息
备案名称:
LMO2抗体试剂
备案证号:
粤深械备 20221686
产品型号:
DMRD0218
适用:
阳性部位:
细胞核
预 处 理:
产品规格
| 类型 | 即用型 | 浓缩型 | ||||
| 规格 | 1ml | 3ml | 6ml | 10ml | 0.1ml | 0.2ml |
