MUC6抗体试剂
MUC6抗体试剂
产品描述
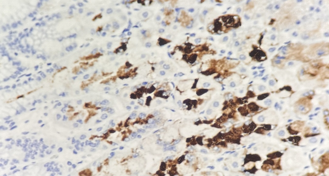
MUC6(黏蛋白6)是一种高分子量(约1000kDa)糖蛋白,由胃黏膜黏液细胞以及胎儿期、癌前病变和癌变结肠的杯状细胞表达,但在正常结肠组织中不表达。该蛋白还存在于其他胚胎学上源于前肠的上皮组织(如上消化道和支气管上皮)以及苗勒管衍生组织(如宫颈内膜黏液细胞和前列腺小囊附近的尿道上皮)。MUC6抗体适用于乙醇固定的培养上皮细胞以及乙醇或福尔马林固定、石蜡包埋的组织切片,能特异性标记正常人胃肠道的胃黏膜表层上皮,并与胎儿期结肠、癌前病变及结肠癌黏膜反应,但对正常结肠组织无交叉反应。这种独特的表达模式使MUC6成为研究消化道肿瘤发生发展及鉴别诊断的重要分子标记物。
参考文献
产品信息
备案名称:
黏蛋白6(MUC-6)抗体试剂
备案证号:
粤深械备 20221688
产品型号:
DMRD0229
适用:
阳性部位:
细胞质
预 处 理:
EDTA 热修复
产品规格
| 类型 | 即用型 | 浓缩型 | ||||
| 规格 | 1ml | 3ml | 6ml | 10ml | 0.1ml | 0.2ml |
