Serotonin抗体试剂
Serotonin抗体试剂
5-羟色胺
产品描述
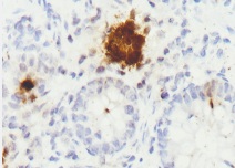
血清素(5-羟色胺)抗体是一种特异性识别神经递质5-HT的免疫检测工具,主要标记肠嗜铬细胞和中枢神经系统中的血清素能神经元。该抗体在神经内分泌肿瘤(如类癌、小细胞肺癌)的诊断中具有重要价值,其胞质颗粒状阳性染色模式可有效鉴别消化道和胰腺的神经内分泌肿瘤。值得注意的是,血清素抗体还能辅助评估肠易激综合征等功能性胃肠疾病中肠嗜铬细胞的密度变化,为神经内分泌功能紊乱相关疾病的病理机制研究提供关键依据。
参考文献
产品信息
备案名称:
5-羟色胺(Serotonin)抗体试剂
备案证号:
粤深械备20221696
产品型号:
DMRD0260
适用:
阳性部位:
细胞质
预 处 理:
产品规格
| 类型 | 即用型 | 浓缩型 | ||||
| 规格 | 1ml | 3ml | 6ml | 10ml | 0.1ml | 0.2ml |
