Somatostatin抗体试剂
Somatostatin抗体试剂
生长抑素
产品描述
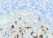
生长抑素抗体是一种特异性识别14或28氨基酸活性肽的免疫检测工具,该激素由下丘脑、胃窦、肠道及胰岛δ细胞分泌,通过G蛋白偶联受体调控内分泌系统和细胞增殖。该抗体在病理诊断中主要用于标记胰岛D细胞,其核周颗粒状阳性染色可有效诊断D细胞增生(常恶变为生长抑素瘤)和神经内分泌肿瘤的功能分型。生长抑素的广泛生理作用(抑制胃酸分泌、胆囊收缩和胰酶释放)使其抗体检测结果对评估相关内分泌紊乱具有重要临床意义,尤其在胰腺神经内分泌肿瘤的鉴别诊断中价值显著。
参考文献
产品信息
备案名称:
生长抑素(Somatostatin)抗体试剂
备案证号:
粤深械备 20221697
产品型号:
DMRD0263
适用:
阳性部位:
细胞质
预 处 理:
EDTA 热修复
产品规格
| 类型 | 即用型 | 浓缩型 | ||||
| 规格 | 1ml | 3ml | 6ml | 10ml | 0.1ml | 0.2ml |
