CA IX抗体试剂
CA IX抗体试剂
碳酸酐酶9
产品描述
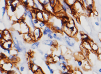
碳酸酐酶(CAs)是一类含锌金属酶大家族,可催化二氧化碳的可逆水合反应,参与呼吸、钙化、酸碱平衡、骨吸收以及房水、脑脊液、唾液和胃液生成等多种生理过程。这类酶在组织分布和亚细胞定位上具有高度多样性。碳酸酐酶9(CA9)是其中唯一的肿瘤相关异构酶,属于跨膜蛋白。它在所有透明细胞肾细胞癌中均表达,但在正常肾脏及绝大多数正常组织中不表达,可能与细胞增殖和转化相关。CA9被认为是许多实体瘤中缺氧区域的最佳细胞标志物之一。
参考文献
产品信息
备案名称:
碳酸酐酶9(CA IX)抗体试剂
备案证号:
粤深械备 20221643
产品型号:
DMRD0176
适用:
阳性部位:
细胞膜
预 处 理:
产品规格
| 类型 | 即用型 | 浓缩型 | ||||
| 规格 | 1ml | 3ml | 6ml | 10ml | 0.1ml | 0.2ml |
