NKX3.1抗体试剂
NKX3.1抗体试剂
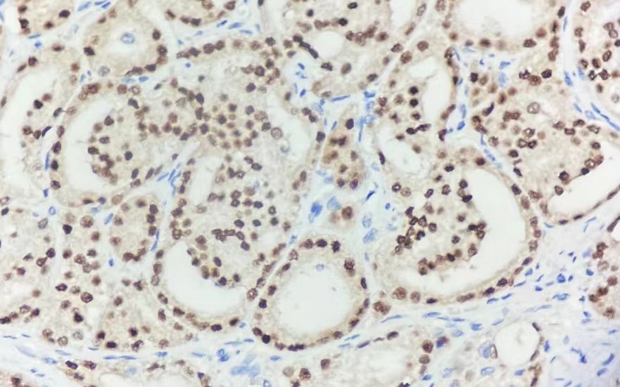
前列腺特异性抑癌基因产物
产品描述
NKX3.1抗体是一种特异性识别同源框蛋白NKX3.1(前列腺特异性抑癌基因产物)的免疫检测工具。该抗体在前列腺癌诊断中表现出卓越性能:对转移性前列腺腺癌的检测敏感性达98.6%(与PSA和PSAP相当),特异性高达99.7%,其核阳性染色模式是前列腺上皮细胞的典型特征。与尿路上皮癌(通常阴性)的鉴别诊断中,NKX3.1抗体能有效区分高级别前列腺腺癌与浸润性尿路上皮癌。值得注意的是,该抗体在雌激素受体(ER)、孕激素受体(PR)和雄激素受体(AR)阳性的乳腺癌中也有表达(尤其小叶癌多于导管癌),但在前列腺癌与其他肿瘤的鉴别中仍保持高度特异性。作为受雄激素调控的前列腺上皮特异性标志物,NKX3.1蛋白表达的缺失常见于前列腺癌及上皮内瘤变,这使其成为前列腺肿瘤进展的重要生物学指标。
参考文献
产品信息
备案名称:
NKX3.1抗体试剂
备案证号:
粤深械备 20221638
产品型号:
DMRD0236
适用:
阳性部位:
细胞核
预 处 理:
产品规格
| 类型 | 即用型 | 浓缩型 | ||||
| 规格 | 1ml | 3ml | 6ml | 10ml | 0.1ml | 0.2ml |
