p21/WAF1抗体试剂
p21/WAF1抗体试剂
细胞周期依赖性激酶抑制蛋白
产品描述
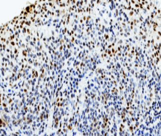
p21抗体是一种特异性识别细胞周期依赖性激酶抑制蛋白(p21/WAF1/CIP1)的免疫检测工具。作为p53信号通路的关键下游效应分子,该蛋白通过结合并抑制cyclin-CDK2/CDK1复合物活性,在G1期检查点调控细胞周期进程,同时能与增殖细胞核抗原(PCNA)相互作用参与DNA损伤修复。正常细胞通常呈现明显的核阳性表达模式,而在胃癌、非小细胞肺癌和甲状腺癌等多种恶性肿瘤中,p21表达缺失与患者不良预后显著相关。该抗体不仅可用于评估p53通路功能状态,其异常表达模式还为肿瘤恶性程度评估提供重要参考依据。
参考文献
产品信息
备案名称:
p21/WAF1抗体试剂
备案证号:
粤深械备 20221677
产品型号:
DMRD0296
适用:
阳性部位:
细胞核
预 处 理:
产品规格
| 类型 | 即用型 | 浓缩型 | ||||
| 规格 | 1ml | 3ml | 6ml | 10ml | 0.1ml | 0.2ml |
