H3.3G34W抗体试剂
H3.3G34W抗体试剂
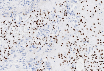
组蛋白H3.3第34位甘氨酸被色氨酸取代突变
产品描述
H3.3G34W抗体是一种特异性识别组蛋白H3.3第34位甘氨酸被色氨酸取代突变(H3.3 G34W)的高特异性抗体,该突变是骨巨细胞瘤(约90%病例)的特征性分子标志。作为诊断性抗体,它能有效区分H3.3 G34W突变型与其他H3变异(如H3 K36M),在骨巨细胞瘤与其他梭形细胞肿瘤(如非骨化性纤维瘤、动脉瘤样骨囊肿)的鉴别诊断中具有关键价值。该突变通过改变组蛋白甲基化模式(如导致H3K36me3水平降低)影响基因表达调控,抗体检测不仅为临床病理诊断提供分子依据,也为研究表观遗传异常在骨肿瘤发生中的作用机制提供重要工具,适用于免疫组化(IHC)、Western blot(WB)等检测方法。
参考文献
产品信息
备案名称:
H3.3G34W抗体试剂
备案证号:
粤深械备 20221678
产品型号:
DMRD0202
适用:
阳性部位:
细胞核
预 处 理:
产品规格
| 类型 | 即用型 | 浓缩型 | ||||
| 规格 | 1ml | 3ml | 6ml | 10ml | 0.1ml | 0.2ml |
